La ponction et la biopsie médullaire sont des examens « classiques » dans le cadre du lymphome. Parfois on a les deux (quelle chance!) mais parfois seulement un des deux.
Plusieurs d’entre vous m’ont déjà posé des questions à ce sujet : Quelle est la différence ? A quoi ça sert ? Est-ce douloureux ? Qu’est qu’on recherche en plus dans cet examen ? Etc. Je vous rappelle que je ne suis pas médecin (pas du tout même) Lol. Je peux vous aider mais à condition de m’informer sur le sujet, parce que ma seule expérience en tant que malade ne reflète pas forcément la réalité… Je vais donc essayer de vous éclairer sur des questions à ce sujet.
Ces examens sont effectués lorsqu’il y a une anomalie biologique au niveau des globules blancs, des globules rouges ou des plaquettes.
Qu’est ce que la moelle osseuse ? La moelle osseuse est le tissu mou et spongieux qui se trouve à l’intérieur de la plupart des os. Les cellules sanguines immatures se transforment en globules rouges, globules blancs ou plaquettes dans la moelle osseuse.
Pourquoi prescrire ces examens ? Pour voir si la moelle osseuse produit le nombre normal de cellules sanguines, savoir pourquoi le nombre de cellules sanguines est anormal, diagnostiquer des troubles sanguins, diagnostiquer un cancer du sang ou de la moelle osseuse (lymphome ou leucémie), diagnostiquer des métastases étendues à la moelle osseuse, surveiller la réaction à un traitement pour un cancer de la moelle osseuse, ou avant une greffe de cellules souches.
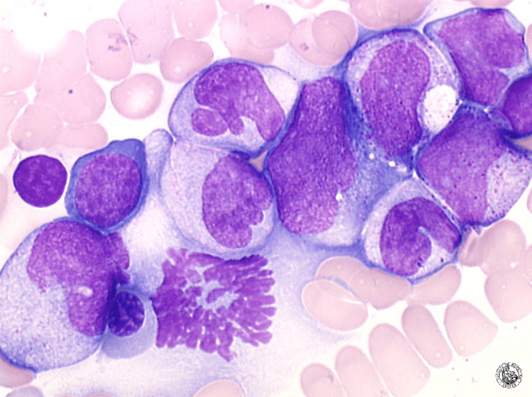
– La ponction médullaire :
Appelé également Myélogramme.
Cet examen consiste à prélever par aspiration à la seringue quelques grains de moelle osseuse. Généralement on la fait au niveau du sternum (thorax) ou de l’os iliaque (bassin).
Le but est d’étudier numériquement et morphologiquement les éléments du tissu hématopoïétique afin d’analyser un dysfonctionnement de la moelle osseuse. Le prélèvement nous renseigne sur la qualité et la quantité des cellules.
La ponction est rapide à faire mais assez désagréable (au moment de l’aspiration) et impressionnante. C’est un examen particulièrement indiqué dans le cas des Hodgkin.
– La biopsie médullaire :
Elle consiste à prélever une carotte de moelle osseuse en vue d’un examen histologique du tissu hématopoïétique.
Le petit fragment cylindrique (carotte) de moelle osseuse prélevé fait entre 15 et 30 mm de long et de 1,2 à1,5 mm de diamètre. Le prélèvement se fait dans l’os iliaque (bassin). Cela permet une étude cytologique (des cellules) qui observe de façon plus précise la richesse de la moelle, son architecture. Ca peut permettre d’éviter la ponction.
Personnellement, j’ai eu une biopsie médullaire car le Pet Scan semblait indiquer une atteinte de la moelle osseuse pour mon Hodgkin (et donc un stade 4). Afin d’en avoir confirmation, une biopsie a été programmée le 1er jour de ma chimio (le traitement pour un stade 3 ou 4 est identique donc cela ne change pas grand-chose). Pour être honnête, ce n’est pas un examen agréable. Dans mon cas, je venais de me faire hospitaliser et je savais qu’après la biopsie, la chimio allait arriver donc ça faisait beaucoup de stress en peu de temps…. L’anesthésie locale qu’on nous fait ne permet pas que l’examen soit indolore. Les médecins proposent donc un complément : Soit le masque (comme au bloc opératoire), soit l’hypnose (si ils savent le faire) et pour les plus angoissé, ils peuvent vous proposer un petit cocktail relaxant (antidépresseur, anxiolitique). Moi, j’ai opté pour l’hypnose ! Je dois être totalement folle ! En fait, les médecins m’avaient déconseillé le masque pour éviter que je sois dans le gaz pour ma 1ère chimio…. L’infirmière cadre a donc fait l’hypnose. Franchement j’ai tout fait pour rester concentrée et me détendre mais je ne suis pas très réceptive (mais je ne regrette pas d’avoir testé). C’est un peu déstabilisant d’avoir plusieurs personnes qui se préparent dans votre dos : la préparation est longue et impressionnante. Et puis, j’ai eu la chance de servir de cobaye aux internes et externes… J’espère qu’ils ont bien appris ! Et, pour ceux qui se posent la question, oui on sent la douleur mais bon je n’en suis pas morte non plus…. Et l’équipe médicale a bien conscience que l’examen n’est pas agréable donc ils sont très sympa, à l’écoute, etc…. Une fois l’examen fini, ils m’ont mis un gros pansement compressif (dans le bas du dos) avec l’obligation de rester couché pendant 1h-1h30 sur le dos afin de bien comprimer et d’éviter un hématome. Par contre je ne vous dis pas la galère pour retirer la grosse bande d’Elastoplast quelques jours plus tard….. Et au final, grosse surprise puisque le résultat est revenu négatif ! L’examen a donc son utilité.
Sources :

